

冠状病毒具有至极强的宿主特异性;甲型和乙型冠状病毒仅感染哺乳动物,丙型冠状病毒仅感染家禽,而丁型冠状病毒的宿主范围更广,包括野生鸟类和一些哺乳动物。
冠状病毒是有包膜的、单链RNA病毒。病毒粒子(完好、具有感染性的病毒颗粒)呈球形,直径约为125纳米(nm)。冠状病毒名义有私有的、棒状的刺突结构,因此得名"冠状"(corona,拉丁语满意为"金冠")。它们领有格外宏大的基因组,以传染性支气管炎病毒(IBV)为例,其基因组大小约为27,600个核苷酸。包裹病毒的包膜由两层脂质组成,其中含有病毒卵白。这些病毒卵白关于病毒的感染性是必需的,因此当包膜被梗阻时,病毒就失去了感染性。脂质包膜容易被干燥、加热和清洁剂梗阻,因此病毒在细胞外的存活本事有限,相对容易通过清洁和消毒灭活。
病毒的主要卵白
传染性支气管炎病毒的基因组编码四种主要结构卵白:刺突卵白(S)、膜卵白(M)、包膜卵白(E)和核衣壳卵白(N)。其中S、M和E卵白与病毒包膜相关联。
刺突卵白
这是一种糖卵白,组成了病毒名义私有的棒状刺突结构。该卵白介导病毒附着并插足宿主细胞。它有两个亚基:S1亚基(约500-550个氨基酸)郑重识别并勾搭宿主细胞受体,S2亚基(630个氨基酸)郑重病毒与细胞膜的明白,使病毒基因组得以插足宿主细胞。在IBV的扫数结构卵白中,刺突卵白是主要的抗原身分,郑重引导产生针对病毒的中庸抗体和保护性免疫。该卵白的S1亚基包含多个用于病毒中庸及血清型特异性抗体的表位(抗原决定簇)。在S2亚基中也毅然出了三个表位,但这些表位引导的抗体是否具有病毒中庸活性尚不驯服。
膜卵白
这种糖卵白是病毒粒子中含量最丰富的结构卵白。据觉得,该卵白保管着病毒的形态。
包膜卵白
包膜卵白在病毒中含量较少。该卵白的主邀功能是促进病毒从宿主细胞的拼装和开释。
核衣壳卵白
这种卵白在病毒拼装经由中与病毒RNA勾搭而形成。它是冠状病毒中含量最丰富的卵白。该卵白是一种主要的免疫原,能激励细胞免疫应答。
感染的启动
为卓绝胜启动感染,病毒必须克服细胞膜障蔽。这是通过病毒与细胞膜的明白终了的。当病毒通过S卵白的S1亚单元介导的经由附着于细胞受体后,S卵白的S2亚单元与宿主细胞的细胞膜明白,病毒RNA插足细胞。病毒在宿主细胞的细胞质中复制和拼装。然后,通过出芽穿过细胞膜的样貌开释并取得脂质包膜。
病毒基因型、毒株、血清型
基于通盘S1基因测序和分析的基因分类决策已被提议用于IBV。在该决策中,IBV被分为六个遗传上不同的基因型(GI、GII、GIII、GIV、GV、GVI),包含32个谱系。其中27个谱系被归入基因型I。其余每个基因型各包含一个谱系。这些谱系中的一些散布在多个大洲、国度或地区,而另一些则仅存在于特定的地舆区域。每个谱系包含不同的病毒,每个病毒被称为一个毒株并被赋予一个特定的称呼(举例GA08、Arkansas、QX、Italy02等)。因此,凭证这种基因分型决策,"毒株"一词指的是一个基因型中某个谱系内病毒的称呼。
对IBV毒株的基因测序和系统发育分析标明,不同的毒株可动力自合并个祖宗(马萨诸塞州IBV),通过基因突变和由于免疫压力、时常的搀和感染以及活疫苗的平常使用而发生的基因重组产生。毒株之间的基因组相关性进程各不交流。
IBV莫得血清学分型系统,但不错使用无特定病原体鸡胚进行交叉中庸熟练,以驯服毒株之间的免疫交叉反应性。平时,血清型组与分类系统中的基因型组相对应。
病毒的进化
传染性支气管炎病毒是一种抓续进化的病毒。由于病毒基因组的突变,新的病毒变异株在天下不休出现。病毒复制经由中的自愿乖张(核苷酸替换、缺失、插入和重组)导致病毒进化和新变异株的出现。编码特定病毒卵白的基因发生突变,可导致该卵白的氨基酸组成发生变化。IBV变异株的界说是由于编码S1卵白的基因发生突变而导致该卵白氨基酸组成发生变化,而仅需氨基酸组成的少数变化就可能产生新的变异株。比拟通盘S1基因平时用于驯服IBV毒株的相关性以及敷陈IBV的进化。S2亚基基因比S1亚基基因更保守,在变异株之间具有高度的核苷酸合并性。由于基因组突变导致的其他病毒卵白的变化也可能影响病毒的毒力。
免疫
如前所述,S1卵白是病毒的主要抗原身分;它包含郑重引导中庸抗体和保护性免疫的表位(卵白质内的短链氨基酸)。不同毒株的表位氨基酸组成可能不同,这会改动卵白质的三维方法,因此由一个毒株引导的免疫不成提供针对其他毒株的充分保护。IBV进化和变异的本事给使用市售疫苗保护鸡群免受该病侵害带来了挑战,因为针对单个IBV毒株的疫苗提供的交叉保护很差。有些毒株在基因组和抗原上关系更近(如Mass和Conn),而另一些则较远(如GA98和Ark),因此前者互相之间通常能提供更多的交叉保护。
局部免疫与全身免疫
呼吸说念(鼻说念、气管)和结膜上皮是IBV插足和复制的运行部位,因此呼吸说念局部黏膜免疫在保护家禽方面起着遑急作用。局部抗体(主如果IgA)中庸病毒并扼制其附着于黏膜上皮细胞。通过喷雾接种的减毒活疫苗能刺激局部免疫和细胞介导免疫。哈德氏腺和泪腺产生局部IgA,而被激活的CD8+和CD4+淋巴细胞则在撤废呼吸说念感染中明白作用。
轮回抗体在保护免受呼吸说念感染中的作用存在争议。多项扣问标明,ued(中国)官方网站入口轮回抗体滴度与呼吸说念保护作用并不相关。但是,关于产蛋母鸡来说,高水平的轮回抗体关于保护生殖说念免受感染、守护产蛋量下落和蛋壳质料恶化至关遑急。由疫苗引导的轮回抗体(主如果IgG)限度了病毒从呼吸说念向其他易感器官(包括肾脏和生殖说念)的传播。
疫苗接种
传染性支气管炎是一种需要将疫苗接种手脚约束计谋一部分的疾病。现在有减毒活疫苗和灭活疫苗可用。灭活疫苗含有佐剂以引导刚硬、抓久的免疫力,但不会引导浓烈的细胞免疫应答。
关于肉鸡,由于其寿命短,仅使用活疫苗。关于蛋鸡和种鸡等寿命长的家禽,免疫方法包括仅使用活疫苗或活疫苗与灭活疫苗集中使用。
通过盘算合理的免疫方法、正确惩处疫苗并赐与全剂量,仅使用活疫苗也有可能达到与活/灭活疫苗方法一样的弥散的田间保护成果。活疫苗平时从2周龄入手,每隔3-6周接种一次,每次后续接种齐设立在先前接种的基础上,要么通过改动血清型,要么通过使用更"活跃"的疫苗或接种设施来增强免疫原性。
在全程活疫苗免疫方法中,产蛋技艺也应每6-8周进行一次活疫苗加强免疫,以保管坐蓐技艺的局部免疫力。在活/灭活集中免疫方法中,当先接种活疫苗以保护后备母鸡,并为免疫系统提供启动,使其对灭活疫苗产生最好反应。细胞免疫(活疫苗)和强效体液免疫(灭活疫苗)的勾搭,使母鸡为轻率产蛋岑岭期及以后的田间攻毒作念好了最充分的准备。
新田间变异株的不休出现是家禽业濒临的一个历久问题。莫得一种单一的疫苗大致针对扫数不同的毒株/变异株提供全面保护。S1卵白氨基酸序列与田间病毒同源的疫苗病毒可能提供全面保护,但不可能为扫数不同的毒株/变异株齐开辟出一种活疫苗。但是,已有扣问标明,关于特定的田间病毒,某些疫苗可能比其他疫苗提供更好的部分保护。在田间条目下,平时使用两种或多种类型的IBV疫苗组合,以最大化交叉保护。疫苗对田间病毒的交叉保护成果最好通过鸡只攻毒熟练来驯服。在生意家禽群中,可能会领受试错法来驯服针对该地区流行的田间病毒的最好疫苗或疫苗组合。
异源疫苗病毒的交叉保护可能是由于中庸抗体与S1卵白中的保守表位勾搭所致。如前所述,S1卵白中有多个表位。S1基因的突变可能仅导致部分表位的氨基酸序列发生改动。其余保守的表位仍然不错激励同源抗体,从而提供保护性免疫。此外,比S1卵白更保守的S2卵白也具有可能在激励保护性抗体方面明白作用的表位。
母源抗体(被迫免疫)与保护作用
IBV的母源抗体可能仅能为刚孵化的雏鸡提供短期的感染保护。抗体(IgG)从接种疫苗的母鸡通过卵黄传递到后代,并存在于雏鸡的血清和呼吸说念黏液中。一项扣问发现,孵出时母源抗体水平高的雏鸡在1日龄时对IBV攻毒具有极佳的保护作用,但在7日龄时则莫得。这种保护作用与局部呼吸说念抗体水平权贵相关,而与血清抗体无关。意旨酷好意旨酷好的是,另一项扣问发现,用活疫苗对1日龄雏鸡进行免疫,由于疫苗病毒与母源抗体勾搭并被部分中庸,导致母源抗体水平飞快下落。由于母源抗体抓续时辰短,新孵出的雏鸡在孵化场和会过喷雾接种减毒活疫苗以引导主动免疫应答。关于饲养跨越50日龄的肉鸡,巧合会在16至18日龄之间通过另一次喷雾接种进行加强免疫。
气管健康监测的宗旨
传染性支气管炎病毒会对气管酿成严重挫伤,并使鸡易发生继发性细菌感染,尤其是大肠杆菌感染。对生意鸡群中特定日龄鸡只的气管进行组织病理学分析,不错提供相关该鸡群所用IBV疫苗保护成果的信息。虽然,需要铭刻的是,气管炎也可能由其他呼吸说念病原体引起。不错基于气管的组织病理学变化开辟评分系统来评估气管健康。这是一个可能需要进一步探索的新宗旨。

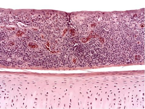
41日龄肉鸡的气管炎(气管炎症)
通过PCR检测,该气管样本的传染性支气管炎病毒呈阳性。
作家念念考
"传染性支气管炎"这个疾病称呼施行上是用词失当。肺支气管树内的病变(支气管炎病变)平时不存在或很渺小。因此,"传染性支气管炎"这个称呼并不成反应病毒的组织发病机制。气管炎是IBV在鸡身上引起的一贯性病变。感染某些变异株时,气囊炎可能很严重。"禽冠状病毒性气管炎"这个称呼可能更准确地反应了病毒对气管的权贵致病性。凭证我手脚禽病理学家和兽医会诊实验室会诊大夫的请示,会诊传染性支气管炎的最好设施是气管的组织病理学查验和对气管进行IBV的PCR检测。组织病理学和PCR遣散应恒久勾搭解读,才能建设传染性支气管炎的会诊。
致谢:作家感谢Brian Jordan博士和Kalen Cookson博士提供的意见和剪辑协助ued中国体育。
开云app官方在线入口